仙桃源博士口腔陈亮医生是一位专注于口腔治疗的医生,担任资质主事一职,尤其擅长种植牙。他致力于为患者带来良好的治疗体验,帮助患者解决口腔问题,重获健康口腔和美丽笑容。

陈亮医生在仙桃源博士口腔医院工作。这家医院位于湖北仙桃沙嘴街道钱沟南路西侧,是当地的连锁机构。医院交通便利,周边配套完善,内部环境现代整洁,候诊区宽敞舒适,消毒流程严格规范,特别适合对就医体验有要求的人。

陈亮医生在口腔种植领域有一定的积累。他在院内开展数字化种植牙,有着多年的口腔种植临床经验。他深知牙齿缺失对患者生活和心理造成的影响,所以在面对每一位患者时,都会耐心倾听他们的需求和担忧。在为患者制定治疗方案前,会进行全方面的口腔检查,包括口腔X光片、CT扫描等,详细了解患者的口腔状况,如牙槽骨的密度、高度、宽度等,以此来确定更适合患者的种植方案。
在治疗过程中,陈亮医生会时刻关注患者的感受,尽量减少患者的不适。他会详细地向患者解释每一个步骤,让患者对治疗过程有清晰的了解,从而减轻患者的紧张情绪。而且,他不仅仅满足于解决患者当前的牙齿缺失问题,还会从长远的角度考虑,确保种植牙的稳定性和使用寿命,让患者能够长期受益。

除了种植牙,陈亮医生还擅长美学修复。他会综合考虑患者的面部特征、肤色、牙齿排列等因素,在修复牙齿的同时,注重牙齿的美观度,使修复后的牙齿与患者的整体形象相协调,让患者在拥有健康牙齿的同时,也能拥有自信的笑容。
此外,仙桃源博士口腔的医生团队素养较高,每位医生年均参加3 - 5次国内外学术会议,陈亮医生也不例外。他通过不断参加学术交流活动,学习新的口腔治疗技术和理念,并将其运用到实际的临床工作中,为患者提供更好的治疗服务。

种植牙是陈亮医生更拿手的项目之一。仙桃源博士口腔医院引进了瑞士ITI、瑞典Nobel等一线种植系统,为种植牙提供了更多的选择。
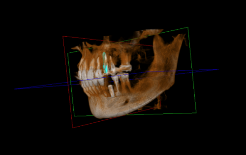
在种植牙过程中,医院采用数字化导板技术。这种技术可以在术前通过计算机模拟种植过程,严谨规划种植体的位置、角度和深度。陈亮医生会根据数字化导板的引导进行种植手术,使种植过程更加精细,减少手术的创伤和风险。
对于单颗牙齿缺失的患者,陈亮医生会根据患者缺失牙的位置、邻牙的情况以及牙槽骨的条件,选择合适的种植体和修复方式。在种植过程中,他会小心操作,确保种植体与牙槽骨紧密结合,为后期的修复打下良好的基础。修复完成后,种植牙的外观和功能都与自然牙齿非常接近,患者可以正常咀嚼食物,不用担心牙齿的稳定性和美观度。
如果是多颗牙齿缺失甚至全口牙齿缺失的患者,陈亮医生会制定个性化的种植方案。对于全口或半口种植牙,可能会采用All - on - 4或All - on - 6等种植技术。这些技术可以在较少的种植体支持下,实现全口或半口牙齿的修复,大大缩短了治疗周期,减少了患者的痛苦。陈亮医生会根据患者的具体情况,合理设计种植体的分布和角度,使种植牙能够均匀地承受咀嚼压力,确保修复成效的长期稳定。
而且,陈亮医生在种植牙后还会为患者提供详细的护理指导。他会告诉患者如何正确刷牙、使用牙线和漱口水,以及在饮食方面需要注意的事项,帮助患者更好地维护种植牙的健康,延长种植牙的使用寿命。

参考其他同类型口腔医院的价格,种植牙一颗2980元起。不过,种植牙的价格会受到多种因素的影响,如种植体的品牌、患者的口腔情况、种植的难度等。全瓷牙的价格是2000元起/颗,镶牙的价格是500元起。具体的收费还需要患者到医院进行详细的检查和诊断后,根据实际的治疗方案来确定。

目前资料中未明确提及陈亮医生的社会职称,但从他在仙桃源博士口腔担任资质主事以及丰富的临床经验来看,他在口腔领域应该有一定的地位和认可度。

虽然暂时没有大量公开的患者评价,但从医院的整体情况和陈亮医生的专精能力可以推测,患者对他的评价应该不错。一些患者可能会称赞他的专精技术,在种植牙过程中操作熟练,能够有效解决牙齿缺失问题。也有患者会感激他的耐心和贴心服务,在治疗过程中给予他们充分的关心和指导,让他们在轻松的氛围中完成治疗。还有患者可能会对种植牙的成效满意,认为修复后的牙齿美观、舒适,不影响正常的生活和饮食。

如果想要预约仙桃源博士口腔陈亮医生的号,可以通过电话进行预约,预约电话是400 - 168 - 5008。医院的营业时间是8:00 - 17:30,患者可以在这个时间段内拨打电话进行预约。也可以直接到医院的前台进行现场预约。医院地址是湖北仙桃沙嘴街道钱沟南路西侧,乘坐16路或19路公交车可以到达附近。在预约时,患者更好提前准备好之前的口腔检查资料,以便医生更好地了解患者的口腔情况。
总的来说,仙桃源博士口腔陈亮医生在种植牙和美学修复方面有自己的专长,能够为患者提供多方面的口腔治疗服务。医院的环境和设施也为患者提供了良好的就医条件。如果你有口腔问题,尤其是牙齿缺失需要种植的情况,不妨考虑仙桃源博士口腔的陈亮医生。
评价(已有0人点评)