鄂尔多斯瑞柏口腔的丁国明医生,是种植科主诊医生,有丰富的种植牙经验,完成过大量种植手术,还擅长即刻种植。如果你有种植牙方面的需求,不妨来了解一下这位医生。

丁国明医生是鄂尔多斯瑞柏口腔院长,同时也是种植科主诊医生。他有着15年口腔临床工作经验,在这段时间里,积累了大量的实践经验。他曾多次前往上海第九医院、四川华 西口腔进修学习,这让他接触到了更精良的理念和技术,也让他的口腔科学知识更加扎实。
在工作中,丁国明医生一直兢兢业业,活跃在临床一线。他数次参加国内外种植学术大会交流,不断学习新的知识和技能,并且熟练掌握了多种种植牙诊疗技巧。他已经成功完成各类口腔种植手术达上万余例,这些手术涵盖了各种复杂的情况。无论是常规的种植牙手术,还是高难度的种植修复手术,他都能应对自如。

对于高血糖、高血压和高血脂患者的种植手术,丁国明医生也有独特的技术把控能力。他能够根据患者的具体身体状况,制定合适的治疗方案,为这些特殊患者提供服务。在临床实践中,他注重与患者沟通,深知每位患者的情况都不同,所以会根据患者的具体情况制定个性化治疗方案。他的这种服务态度,赢得了患者们的好评。

种植牙是丁国明医生擅长的项目之一。他擅长各类种植手术,包括即刻种植、高难度种植如All - on - 4以及穿颧穿翼种植手术。即刻种植相比传统的植牙方式,有创伤更小、更省时的特点。丁国明医生在这方面技术成熟,能够熟练操作。
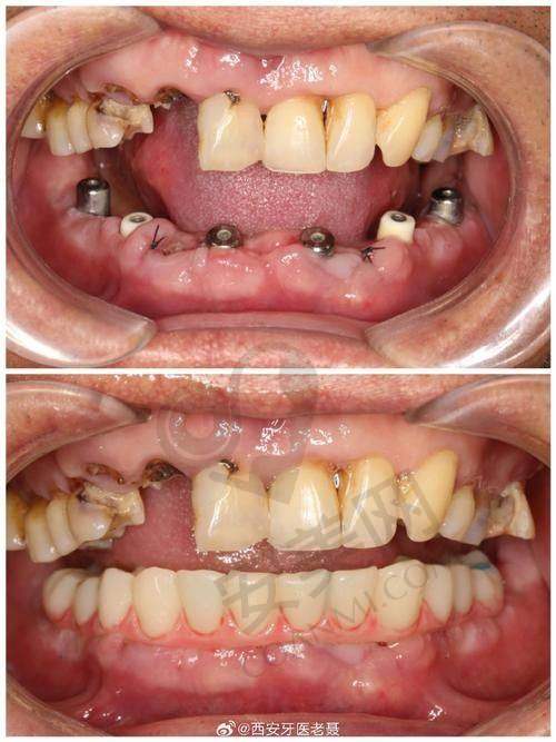
对于各类牙列缺损的种植修复和全口无牙的种植修复,丁国明医生也有丰富的经验。他可以根据患者牙齿缺损的情况,选择合适的种植体和修复方案。在进行种植手术前,他会对患者的口腔进行全方面的检查和评估,了解患者的口腔状况和身体状况,确保手术的顺利进行。
在All - on - 4半全口种植技术方面,他能够巧妙地利用四颗种植体来支撑半口牙桥,为患者提供有效的解决方案。这种技术可以减少种植体的使用数量,降低患者的费用,同时也能缩短治疗时间。而穿颧穿翼种植手术是一种高难度的种植手术,丁国明医生能够熟练掌握这种技术,为一些特殊情况的患者解决牙齿缺失问题。

瑞柏口腔门诊部提供多种种植体品牌,价格也有所不同。一般种植牙价格在2000 - 3000元起/颗,其中特价种植体品牌柏康特,仅需1980元起。牙齿矫正价格方面,普特牙齿矫正价格为3999元起,而普通的牙齿矫正价格是18000元起。

目前资料中未明确提及丁国明医生的社会职称,但从他的工作经历和专精能力来看,他在鄂尔多斯瑞柏口腔担任院长和种植科主诊医生,在当地口腔种植领域有一定的影响力。

患者对丁国明医生评价较好。有患者认为他耐心又正规,在制定治疗方案时,会把方案讲得明明白白,让患者清楚了解整个治疗过程。他以精练的技术和细致入微的服务,赢得了患者们的一致好评。对于一些老年病人种牙问题,他也能良好地处理,让老年患者也能放心种牙。

如果你想预约鄂尔多斯瑞柏口腔丁国明医生,可以通过医院的法定网站进行在线预约,在网站上填写个人信息和预约时间即可。也可以拨打医院的预约电话,告知工作人员你的需求,他们会为你安排合适的时间。此外,还可以前往医院的前台,直接进行现场预约。在预约时,更好提前了解医生的坐诊时间,以便顺利预约到合适的时间就诊。
总的来说,鄂尔多斯瑞柏口腔丁国明医生在种植牙领域有一定的实力,擅长多种种植手术,收费价格也有多种选择。他注重与患者沟通,能为患者提供个性化的治疗方案,并且得到了患者的认可。如果你有种植牙等口腔问题,可以考虑预约丁国明医生进行询问和治疗。
评价(已有0人点评)