在太原,牙齿缺失的朋友们有了新的福音!太原鼎植口腔医院的冯蕊医生,擅长运用法国安卓健种植牙技术,为众多患者解决了牙齿缺失的困扰。法国安卓健种植牙以其出色的品质和良好的稳定性,成为了不少人的选择。而现在,太原鼎植口腔医院推出了优惠活动,法国安卓健种植牙7980元起,这个价格在种植牙市场中极具吸引力。接下来,就让我们一起深入了解一下太原鼎植口腔医院、冯蕊医生以及法国安卓健种植牙的相关情况。

太原鼎植口腔医院是当地一家颇具有名度的口腔医疗机构。医院拥有精良的口腔诊疗设备,从口腔CT到种植导航系统等一应俱全。这些设备能够精细地检测患者的口腔状况,为后续的治疗提供科学依据。医院的环境舒适宜人,宽敞明亮的候诊区、温馨的诊疗室,让患者在就诊过程中感受到家一般的温暖。而且,医院注重服务质量,医护人员热情周到,从患者进门的那一刻起,就会有专人引导,帮助患者解决各种问题。无论是牙齿矫正、牙齿美白还是种植牙等项目,医院都有专精的医生团队和完善的治疗方案。

冯蕊医生是太原鼎植口腔医院的明星医生之一。她毕业于有名的口腔医学校校,拥有丰富的临床经验。在种植牙领域,冯蕊医生有着深厚的造诣。她不断学习和研究国内外精良的种植牙技术,能够根据患者的不同情况制定个性化的种植方案。冯蕊医生对待每一位患者都非常耐心,会详细地向患者解释种植过程、可能出现的问题以及术后的注意事项。她不错的医术和良好的医德赢得了患者的一致好评。特别多患者在接受冯蕊医生的种植牙手术后,都修复得非常好,重新拥有了健康美丽的牙齿。

法国安卓健种植牙是一款备受瞩目的种植牙产品。它采用了精良的材料和独特的设计。其种植体的表面处理技术能够促进骨结合,使种植体更快更稳定地与牙槽骨结合在一起。这意味着患者在种植后能够更快地修复咀嚼功能。而且,法国安卓健种植牙的生物相容性非常好,能够减少患者的排异反应,降低感染的风险。此外,它的外观也非常自然,与真牙几乎没有差别,能够满足患者对美观的需求。无论是单颗牙缺失、多颗牙缺失还是全口牙缺失,法国安卓健种植牙都能提供有效的解决方案。

在种植牙市场中,价格一直是患者比较关注的因素。太原鼎植口腔医院推出的法国安卓健种植牙7980元起的活动,无疑为患者带来了福音。当然,这个价格只是一个起步价,具体的费用会根据患者的口腔情况、种植的颗数等因素而有所不同。如果患者的牙槽骨条件较好,只需要进行简单的种植手术,那么费用可能相对较低。但如果患者的牙槽骨需要进行额外的处理,如骨增量等,费用就会相应增加。不过,总体来说,这个价格相比其他品牌的种植牙或者在其他医院进行种植,还是具有较大的优势。需要注意的是,这个价格仅供参考,具体的费用还需要患者到医院进行详细的检查和询问后才能确定。

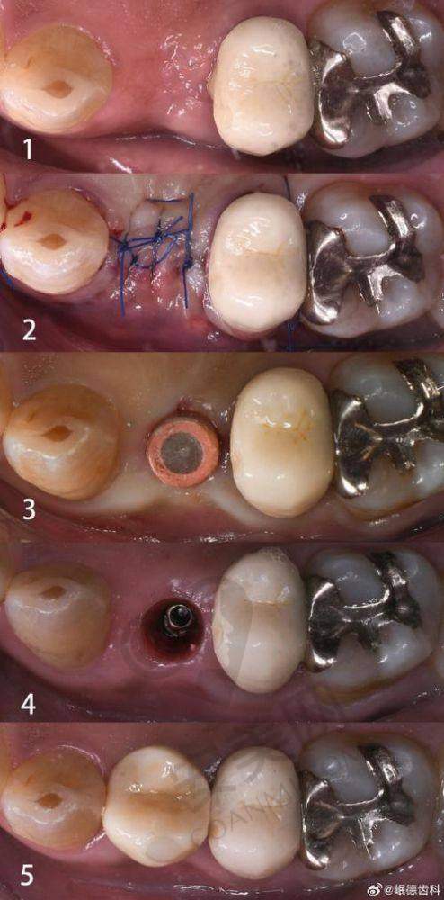
当患者决定在太原鼎植口腔医院进行法国安卓健种植牙时,首先需要进行全方面的口腔检查。医生会通过口腔CT等设备了解患者的牙槽骨密度、高度、宽度等情况,评估患者是否适合种植牙手术。如果患者的条件符合要求,医生会根据患者的口腔情况和需求制定个性化的种植方案。接下来就是种植手术阶段,在局部麻醉下,医生会将种植体植入牙槽骨内。这个过程中患者一般不会感到明显的疼痛。术后,患者需要遵循医生的嘱咐进行护理,如避免食用实力强的食物、按时服用消炎药等。经过一段时间的修复,种植体与牙槽骨结合稳定后,医生会安装基台和牙冠,至此,种植牙手术就完成了。

种植牙手术后的护理非常重要。患者在术后当天应避免刷牙,以免刺激伤口。饮食方面,应选择软烂、易消化的食物,如粥、面条等。避免食用辛辣、刺激性食物和实力强的食物,以免影响伤口愈合。患者需要按照医生的要求按时服用消炎药和止痛药,预防感染和减轻疼痛。同时,要注意口腔卫生,使用医生推荐的漱口水进行漱口。在修复期间,患者需要定期到医院进行复查,医生会检查种植体的愈合情况,及时发现并处理可能出现的问题。

特别多在太原鼎植口腔医院接受法国安卓健种植牙手术的患者都给出了积极的反馈。一位张大爷表示,他之前牙齿缺失后吃饭都成了问题,在冯蕊医生的建议下选择了法国安卓健种植牙。手术后,他特别快就修复了正常的饮食,而且种植牙非常稳固,就像自己的真牙一样。还有一位李女士,她对牙齿的美观要求比较高,担心种植牙会影响外观。但做完法国安卓健种植牙后,她发现种植牙的外观非常自然,几乎看不出来是假牙。这些患者的真实反馈充分证明了太原鼎植口腔医院的技术水平和法国安卓健种植牙的优势。
总的来说,太原鼎植口腔医院在冯蕊医生的带领下,凭借法国安卓健种植牙7980元起的优惠活动,为牙齿缺失的患者提供了一个优质、实惠的选择。医院的专精设备、医生的不错医术、种植牙的良好性能以及贴心的服务,都让患者能够放心地进行种植牙手术。如果你也有牙齿缺失的困扰,不妨到太原鼎植口腔医院询问一下,说不定在这里你能重新拥有健康美丽的牙齿。
