当前位置:网站主页 > 项目 > 乌鲁木齐优佳贝口腔进口树脂补牙580元起,实惠补牙体验开启口腔健康之旅

乌鲁木齐优佳贝口腔进口树脂补牙580元起,实惠补牙体验开启口腔健康之旅

更新时间:2025-10-14     编辑:承欢    阅读量:

在乌鲁木齐,牙齿健康问题一直是特别多市民关注的焦点。当牙齿出现龋坏等问题时,补牙就成了修复牙齿健康和功能的重要手段。而乌鲁木齐优佳贝口腔推出的进口树脂补牙项目,以580元起的价格吸引了众多市民的目光。进口树脂补牙具有美观、耐用等诸多优点,对于那些希望在解决牙齿问题的同时又能兼顾美观的人来说,无疑是一个不错的选择。那么,乌鲁木齐优佳贝口腔的进口树脂补牙究竟有哪些独特之处呢?下面我们就来一探究竟。

什么是进口树脂补牙?

什么是进口树脂补牙?

进口树脂补牙是目前口腔修复领域中常用的一种补牙方法。进口树脂材料具有良好的生物相容性,对人体几乎没有危害。它的颜色与天然牙齿非常接近,补完牙后几乎看不出痕迹,能够良好地满足患者对美观的要求。此外,进口树脂材料的粘结性强,可以牢固地附着在牙齿表面,不易脱落,能够有效地修复牙齿的形态和功能。与传统的补牙材料相比,进口树脂补牙在美观性和耐用性方面都有了较大的提升。

乌鲁木齐优佳贝口腔进口树脂补牙的价格是怎样的?

乌鲁木齐优佳贝口腔进口树脂补牙的价格是怎样的?

乌鲁木齐优佳贝口腔的进口树脂补牙价格是580元起。不过这个价格只是一个起步价,具体的费用会根据牙齿龋坏的程度、补牙的部位以及所选用的树脂材料的不同而有所差异。如果牙齿龋坏比较重度,需要进行更多的处理,费用可能会相对高一些。另外,不同品牌和型号的进口树脂材料价格也有所不同。一些高端的进口树脂材料,由于其性能更好、质量更优,价格也会相应提高。所以,具体的价格还需要患者到医院进行详细的检查后,由医生根据实际情况来确定。这里需要强调的是,以上价格仅供参考,实际价格以医院收费为准。

乌鲁木齐优佳贝口腔进口树脂补牙有哪些优势?

乌鲁木齐优佳贝口腔进口树脂补牙有哪些优势?

专精的医生团队:乌鲁木齐优佳贝口腔拥有一支经验多、技术不错的医生团队。这些医生都经过了严格的专精培训,具备扎实的口腔医学知识和丰富的临床经验。他们能够根据患者的具体情况,制定个性化的补牙方案,确保补牙的成效和质量。在补牙过程中,医生们操作熟练、手法轻柔,能够较大程度地减少患者的痛苦。

优质的进口树脂材料:该口腔医院所使用的进口树脂材料均来自正规渠道,质量有保护。这些材料具有良好的物理性能和化学性能,能够有效地抵抗细菌的侵蚀,延长补牙的使用寿命。同时,材料的颜色丰富,可以根据患者的牙齿颜色进行精细匹配,使补完牙后的成效更加自然美观。

精良的设备和技术:乌鲁木齐优佳贝口腔引进了一系列精良的口腔诊疗设备和技术,如口腔CT、激光治疗设备等。这些设备和技术能够为医生提供更加正确的诊断信息,提高补牙的精细度和成功几率。在补牙过程中,精良的设备还能够减少患者的不适感,提高治疗的效率。

良好的服务体验:医院注重患者的服务体验,从患者进门的那一刻起,就会有专精的导医人员为患者提供周到的服务。在治疗过程中,医生和护士会耐心地解答患者的疑问,让患者充分了解补牙的过程和注意事项。治疗结束后,医院还会为患者提供详细的术后护理指导,确保患者能够尽快修复健康。

进口树脂补牙的过程是怎样的?

进口树脂补牙的过程是怎样的?

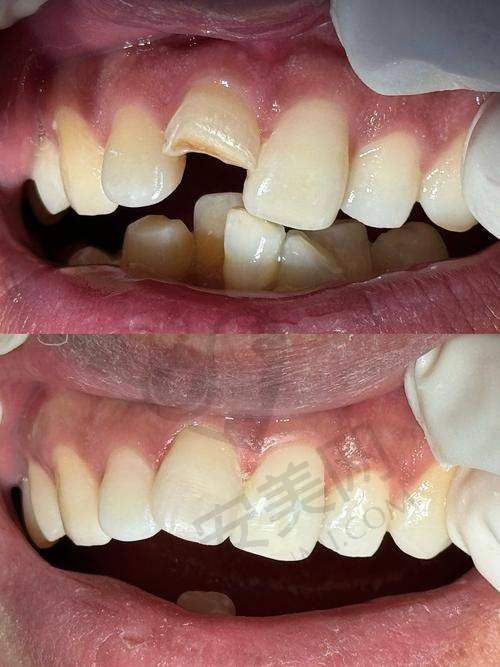
当患者来到乌鲁木齐优佳贝口腔进行进口树脂补牙时,首先医生会对患者的牙齿进行全方面的检查,确定牙齿龋坏的程度和范围。然后,医生会使用专精的工具将龋坏的组织去除干净,这个过程可能会有一些轻微的疼痛,但医生会尽量减轻患者的不适感。接下来,医生会对牙齿进行消毒处理,以防止细菌感染。之后,医生会根据患者的牙齿颜色选择合适的进口树脂材料,并将其填充到牙齿龋坏的部位。在填充过程中,医生会使用特殊的工具将树脂材料塑形,使其与牙齿的外形相匹配。末尾,医生会使用光照设备对树脂材料进行固化,使其变得更加坚固。整个补牙过程通常需要几十分钟到一个小时左右,具体时间会根据牙齿的情况而定。

进口树脂补牙后需要注意什么?

进口树脂补牙后需要注意什么?

补牙后,患者需要注意一些事项,以确保补牙的成效和牙齿的健康。首先,在补牙后的当天,应避免用补牙的一侧咀嚼食物,以免树脂材料受到损伤。其次,要注意口腔卫生,养成早晚刷牙、饭后漱口的好习惯。使用软毛牙刷,按照正确的刷牙方法进行刷牙,能够有效地清除口腔内的食物残渣和细菌。此外,患者还应避免食用实力强、过黏的食物,以免导致补牙材料脱落。如果补牙后出现疼痛、肿胀等不适症状,应及时到医院复诊。

乌鲁木齐优佳贝口腔的口碑如何?

乌鲁木齐优佳贝口腔的口碑如何?

乌鲁木齐优佳贝口腔在当地拥有良好的口碑。特别多患者对该医院的进口树脂补牙项目给予了高度评价。患者们普遍认为,医院的医生专精负责,服务态度好,补牙的成效也非常理想。一些患者表示,补完牙后牙齿不仅修复了正常的功能,而且外观也非常自然美观,几乎看不出补过牙的痕迹。此外,医院的收费合理透明,不会出现乱收费的现象,让患者感到非常放心。

如何预约乌鲁木齐优佳贝口腔的进口树脂补牙服务?

如何预约乌鲁木齐优佳贝口腔的进口树脂补牙服务?

患者可以通过多种方式预约乌鲁木齐优佳贝口腔的进口树脂补牙服务。一种方式是直接拨打医院的预约电话,向工作人员说明自己的需求和预约时间。另一种方式是在医院的法定网站或微信公众号上进行在线预约。在预约时,患者需要提供自己的基本信息和牙齿情况,以便医院做好相应的准备工作。预约成功后,患者只需按照预约的时间前往医院就诊即可。

综上所述,乌鲁木齐优佳贝口腔的进口树脂补牙项目具有价格实惠、优势明显等特点。专精的医生团队、优质的进口树脂材料、精良的设备和技术以及良好的服务体验,都为患者提供了可靠的保护。如果您有补牙的需求,不妨考虑一下乌鲁木齐优佳贝口腔的进口树脂补牙服务。但在选择时,一定要根据自己的实际情况,与医生充分沟通,选择更适合自己的补牙方案。同时,要牢记价格仅供参考,实际费用以医院收费为准。相信在乌鲁木齐优佳贝口腔,您一定能够获得满意的补牙成效。