当前位置:网站主页 > 项目 > 滨州牙博士口腔吕光彩医生做韩国进口种植牙2860元起,实惠之选焕新口腔!

滨州牙博士口腔吕光彩医生做韩国进口种植牙2860元起,实惠之选焕新口腔!

更新时间:2025-10-13     编辑:弦音    阅读量:

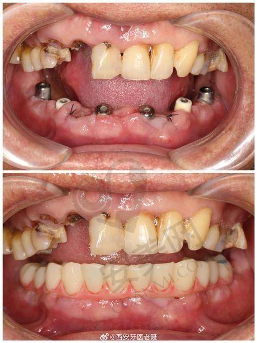
在滨州,牙齿缺失问题困扰着不少人,而种植牙成为了许多人修复口腔功能和美观的理想选择。今天要为大家介绍的是滨州牙博士口腔,这里有备受瞩目的吕光彩医生,他擅长开展韩国进口种植牙项目,价格更是低至2860元起。对于那些饱受缺牙之苦,又渴望以实惠价格获得优质种植牙服务的患者来说,这无疑是一个令人振奋的消息。接下来,就让我们深入了解一下滨州牙博士口腔以及吕光彩医生的韩国进口种植牙项目。

滨州牙博士口腔是怎样的一家医院?

滨州牙博士口腔是怎样的一家医院?

滨州牙博士口腔是当地一家颇具影响力的口腔医疗机构。它拥有精良的口腔诊疗设备,从口腔CT机到种植牙手术所需的精密仪器,一应俱全。这些设备能够正确地检测患者的口腔状况,为后续的治疗提供科学依据。医院的环境也十分舒适宜人,宽敞明亮的候诊区、干净整洁的诊疗室,让患者在就诊过程中感受到温馨和安心。而且,医院注重服务质量,医护人员热情周到,会耐心解答患者的每一个疑问,消除患者的紧张和顾虑。

吕光彩医生在种植牙领域有何独特之处?

吕光彩医生在种植牙领域有何独特之处?

吕光彩医生是滨州牙博士口腔的核心骨干医生之一。他拥有丰富的临床经验,多年来专注于种植牙领域的研究和实践。在种植牙手术方面,他技术不错,手法细腻。每一台手术,他都会根据患者的具体情况,制定个性化的种植方案。他擅长处理各种复杂的口腔情况,比如牙槽骨条件不佳、多颗牙齿缺失等问题。许多患者在吕光彩医生的治疗下,成功地修复了牙齿功能,重拾了自信的笑容。他还不断学习和引进国内外精良的种植牙技术,让患者能够享受到更前列的口腔医疗服务。

为什么选择韩国进口种植牙?

为什么选择韩国进口种植牙?

韩国进口种植牙在海内外种植牙市场中占据着重要的地位。韩国的种植牙技术发展成熟,其种植体的质量和性能都有可靠的保护。韩国进口种植牙具有良好的生物相容性,能够与人体牙槽骨更好地结合,提高种植成功几率。而且,韩国种植牙的设计更加符合亚洲人的口腔特点,佩戴起来更加舒适。此外,韩国种植牙的价格相对较为亲民,对于大多数患者来说,是一个性价比特别高的选择。在滨州牙博士口腔,吕光彩医生使用的韩国进口种植牙,更是经过了严格的筛选和检测,确保每一颗种植体都能为患者带来良好的治疗成效。

韩国进口种植牙2860元起是怎样的价格体系?

韩国进口种植牙2860元起是怎样的价格体系?

这里所说的韩国进口种植牙2860元起,是一个基础的价格区间。这个价格可能包含了种植体的费用,但具体的价格还会根据不同的情况有所变化。如果患者的口腔条件较好,只需要进行简单的种植手术,那么可能就可以以2860元的价格完成一颗种植牙。但如果患者的牙槽骨需要进行额外的处理,比如骨增量手术,或者需要搭配牙冠等其他配件,那么价格就会相应地增加。另外,不同品牌的韩国进口种植牙价格也会有所差异,一些高端品牌的种植体价格可能会相对较高。需要强调的是,这些价格仅供参考,具体的费用还需要患者到滨州牙博士口腔进行详细的检查和询问后才能确定。

在滨州牙博士口腔进行韩国进口种植牙的流程是怎样的?

在滨州牙博士口腔进行韩国进口种植牙的流程是怎样的?

首先,患者需要到医院进行初步的口腔检查。医生会使用精良的设备对患者的口腔进行全方面的扫描,了解牙槽骨的密度、高度、宽度等情况,以及是否存在其他口腔疾病。然后,医生会根据检查结果,为患者制定个性化的种植方案。如果患者对方案满意,就可以安排手术时间。在手术前,医生会对患者进行详细的术前指导,告知患者需要注意的事项。手术过程中,吕光彩医生会在局部麻醉的情况下,将种植体正确地植入牙槽骨内。手术后,患者需要按照医生的嘱咐进行护理和修复,定期到医院进行复查,直到种植体与牙槽骨完全结合,安装上合适的牙冠,整个种植牙过程才算完成。

韩国进口种植牙的成效能维持多久?

韩国进口种植牙的成效能维持多久?

一般来说,如果患者在种植牙后能够做好口腔护理,韩国进口种植牙的成效可以维持较长的时间。在滨州牙博士口腔,吕光彩医生会为患者提供详细的术后护理指导,包括正确的刷牙方法、使用牙线等。只要患者遵循医生的建议,保持良好的口腔卫生习惯,避免食用实力强的食物,韩国进口种植牙可以使用10年甚至更长时间。当然,种植牙的使用寿命也会受到多种因素的影响,比如患者的口腔健康状况、种植体的质量等。所以,定期到医院进行复查是非常重要的,医生可以及时发现问题并进行处理,延长种植牙的使用寿命。

滨州牙博士口腔的韩国进口种植牙有哪些优势?

滨州牙博士口腔的韩国进口种植牙有哪些优势?

除了前面提到的精良设备、专精医生和优质的韩国进口种植体外,滨州牙博士口腔还提供完善的售后服务。医院会建立患者的口腔健康档案,定期对患者进行回访,了解患者种植牙后的使用情况。如果患者在使用过程中遇到任何问题,医院会及时为患者提供解决方案。而且,医院还会举办一些口腔健康讲座和活动,提高患者的口腔保健意识。在价格方面,2860元起的韩国进口种植牙,让更多的患者能够享受到优质的种植牙服务,真正做到了实惠与品质并存。

如何预约滨州牙博士口腔吕光彩医生的韩国进口种植牙服务?

如何预约滨州牙博士口腔吕光彩医生的韩国进口种植牙服务?

患者可以通过多种方式预约滨州牙博士口腔吕光彩医生的韩国进口种植牙服务。可以直接拨打医院的法定电话,向工作人员说明自己的需求,预约就诊时间。也可以在医院的法定网站或者微信公众号上进行在线预约,填写相关信息后提交预约申请。此外,患者还可以到医院的前台进行现场预约。无论选择哪种方式,医院的工作人员都会热情地为患者服务,帮助患者顺利预约到吕光彩医生的诊疗服务。

综上所述,滨州牙博士口腔在吕光彩医生的带领下,为患者提供了优质的韩国进口种植牙服务。韩国进口种植牙2860元起的价格体系,为广大牙齿缺失患者带来了福音。如果你正在为牙齿缺失问题而烦恼,不妨到滨州牙博士口腔了解一下,相信在这里你能够找到适合自己的种植牙解决方案,重拾健康美丽的笑容。