当前位置:网站主页 > 项目 > 重庆维乐口腔戴智医生操刀,韩国登腾种植牙3300元含烤瓷牙冠超划算

重庆维乐口腔戴智医生操刀,韩国登腾种植牙3300元含烤瓷牙冠超划算

更新时间:2025-10-11     编辑:可悠    阅读量:

在重庆,牙齿缺失问题困扰着不少人,而种植牙成为了众多患者修复牙齿的理想选择。重庆维乐口腔的戴智医生,凭借其不错的医术和丰富的经验,在种植牙领域声名远扬。特别是他所擅长的韩国登腾种植牙项目,以其高性价比受到了广泛关注。目前,该项目给出了令人心动的价格——3300元(含烤瓷牙冠)。这个价格在种植牙市场中无疑具有巨大的吸引力,但特别多人也会好奇,如此实惠的价格背后,韩国登腾种植牙的成效究竟如何?戴智医生又有着怎样的技术优势?接下来,就让我们一起深入了解一下。

韩国登腾种植牙是什么?

韩国登腾种植牙是什么?

韩国登腾种植牙是目前口腔种植领域中较为有名的一种种植系统。它采用了精良的技术和优质的材料,具有良好的生物相容性。登腾种植体的表面经过特殊处理,能够更快地与牙槽骨结合,缩短种植周期。对于牙齿缺失的患者来说,它就像是一颗新的“真牙”,能够修复牙齿的咀嚼功能和美观度。这种种植牙系统已经在海内外范围内得到了广泛应用,并且经过了大量临床实例的验证,其安心性和有效性都有可靠的保护。

戴智医生在韩国登腾种植牙方面有何优势?

戴智医生在韩国登腾种植牙方面有何优势?

丰富的临床经验:戴智医生在重庆维乐口腔工作多年,经手了大量的种植牙实例。他对韩国登腾种植牙系统的操作流程非常熟悉,能够根据不同患者的口腔情况制定个性化的种植方案。无论是单颗牙缺失、多颗牙缺失还是全口牙缺失,他都能游刃有余地进行处理。

不错的技术手法:在种植过程中,戴智医生凭借其精细的操作,能够正确地将种植体植入到合适的位置,较大程度地减少对患者口腔组织的损伤。他注重每一个细节,从术前的检查评估到术中的精细操作,再到术后的跟踪护理,都做到了尽善尽美。

良好的口碑:戴智医生凭借其出色的医术和贴心的服务,赢得了患者们的一致好评。特别多患者在接受他的治疗后,都对种植牙的成效非常满意,并且愿意将他推荐给身边有需要的人。

3300元(含烤瓷牙冠)的价格是否合理?

3300元(含烤瓷牙冠)的价格是否合理?

在种植牙市场中,价格是患者非常关注的一个因素。韩国登腾种植牙3300元(含烤瓷牙冠)这个价格相对来说是比较实惠的。但需要注意的是,种植牙的价格会受到多种因素的影响。

材料成本:韩国登腾种植体本身的成本在市场上有一定的范围,而烤瓷牙冠的质量和品牌也会对价格产生影响。3300元这个价格可能是在综合考虑了材料成本和医院的优惠政策后给出的。

医院定位和服务:重庆维乐口腔作为一家专精的口腔医疗机构,在设备、技术和服务方面都有一定的投入。这个价格可能是医院为了吸引更多患者,提高市场竞争力而推出的优惠活动。不过,具体的价格还是要以实际就诊时为准,这里给出的价格仅供参考。

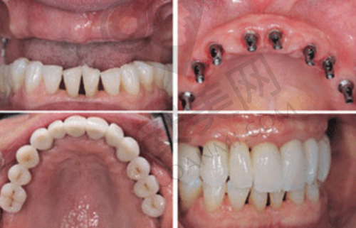
韩国登腾种植牙的成效如何?

韩国登腾种植牙的成效如何?

功能修复:韩国登腾种植牙能够良好地修复牙齿的咀嚼功能。植入后的种植体与牙槽骨紧密结合,就像真牙一样扎根在口腔中,患者可以正常地咀嚼各种食物,享受美食的乐趣。

美观度:搭配的烤瓷牙冠在颜色和形态上都与自然牙齿非常接近,几乎可以达到以假乱真的成效。不仅能够改善患者的面部外观,还能增强患者的自信心。

稳定性:由于登腾种植体与牙槽骨的良好结合,种植牙具有较高的稳定性。在日常生活中,不用担心牙齿会松动或脱落的问题,可以长期使用。

种植牙前后需要注意什么?

种植牙前后需要注意什么?

术前注意事项:患者在进行韩国登腾种植牙手术前,需要进行全方面的口腔检查,包括口腔X光片、CT等,以确定牙槽骨的情况和身体状况是否适合种植。同时,要告知医生自己的病史、过敏史等信息。在术前要保持口腔清洁,避免食用辛辣、刺激性食物。

术后注意事项:术后要按照医生的嘱咐进行护理,包括按时服用消炎药、避免剧烈运动、注意口腔卫生等。在饮食方面,要避免食用实力强、过烫的食物,以免损伤种植体。同时,要定期到医院进行复查,观察种植体的愈合情况。

重庆维乐口腔的服务怎么样?

重庆维乐口腔的服务怎么样?

专精的医疗团队:重庆维乐口腔汇聚了一批专精的口腔医生和医护人员,他们都经过了严格的专精培训,具备丰富的临床经验和良好的服务意识。戴智医生就是其中的杰出代表,他能够为患者提供全方面的口腔诊疗服务。

精良的设备和技术:医院引进了精良的口腔诊疗设备,如口腔CT、种植牙手术导航系统等,为种植牙手术的精细性和安心性提供了保护。同时,医院不断更新技术,采用国内外精良的种植理念和方法,为患者提供更优质的治疗。

贴心的服务体验:从患者进入医院开始,就会有专人引导,解答患者的疑问。在治疗过程中,医护人员会关注患者的感受,尽量减轻患者的痛苦。术后还会进行跟踪回访,确保患者的种植成效和口腔健康。

综上所述,重庆维乐口腔的戴智医生在韩国登腾种植牙项目上有着诸多优势。韩国登腾种植牙本身具有良好的性能,而戴智医生的专精技术和丰富经验能够为患者提供更可靠的保护。3300元(含烤瓷牙冠)这个价格在种植牙市场中具有一定的竞争力,但具体价格还需以实际就诊为准。如果你有牙齿缺失的困扰,不妨考虑一下重庆维乐口腔的韩国登腾种植牙项目,相信戴智医生和他的团队能够为你带来满意的治疗成效。