当前位置:网站主页 > 项目 > 银川时光口腔马少武医生做传统矫正4888元起,简单病例矫正超划算

银川时光口腔马少武医生做传统矫正4888元起,简单病例矫正超划算

更新时间:2025-10-09     编辑:承欢    阅读量:

在银川,牙齿矫正成为了特别多人关注的话题。尤其是当提到传统矫正,银川时光口腔的马少武医生声名远扬。这里推出的传统矫正项目,简单病例4888元起,这个价格在市场上极具吸引力。对于那些有牙齿矫正需求,但又对价格敏感的人来说,无疑是一个好消息。接下来,我们就深入了解一下银川时光口腔以及马少武医生的传统矫正项目,看看它究竟有哪些独特之处,能让众多患者心动。

银川时光口腔是怎样的一家医院?

银川时光口腔是当地一家颇具影响力的口腔专科医院。医院拥有精良的口腔诊疗设备,从牙齿检查到矫正治疗,都能提供精细的服务。医院的环境舒适宜人,让患者在就诊过程中感受到轻松和安心。而且,医院注重 医疗服务的质量,拥有一支专精的医护团队,他们不仅技术不错,而且服务态度亲切和蔼。在口腔矫正领域,银川时光口腔积累了丰富的经验,帮助了众多患者解决了牙齿问题,重塑了自信笑容。

马少武医生在传统矫正方面有何优势?

马少武医生在传统矫正方面有何优势?

马少武医生是银川时光口腔的核心矫正骨干医生。他从事口腔矫正工作多年,拥有扎实的理论基础和丰富的临床经验。他擅长根据患者的不同牙齿情况,制定个性化的矫正方案。对于传统矫正技术,马少武医生有着深入的研究和独特的见解。他能够熟练运用各种矫正工具,精细调整牙齿的位置和排列。在矫正过程中,他会密切关注患者的牙齿变化,及时调整矫正力度,确保矫正成效达到至佳。而且,马少武医生对待患者非常耐心,会详细解答患者的疑问,让患者对矫正过程有充分的了解。

传统矫正的价格为何如此吸引人?

传统矫正的价格为何如此吸引人?

银川时光口腔马少武医生的传统矫正简单病例4888元起,这个价格是经过综合考虑的。一方面,医院希望能够让更多的人享受到专精的牙齿矫正服务,降低矫正门槛。另一方面,医院通过优化内部管理,降低运营成本,从而能够在确保矫正质量的前提下,给出相对较低的价格。当然,这个价格只是针对简单病例,对于一些复杂的牙齿矫正情况,价格会根据具体的治疗方案进行调整。不过,总体来说,这里的传统矫正价格在市场上具有特别强的竞争力。需要强调的是,这个价格仅供参考,具体价格还需根据患者的实际情况确定。

传统矫正适合哪些人群?

传统矫正适合哪些人群?

传统矫正适用于多种牙齿问题的人群。对于牙齿排列不齐,如牙齿拥挤、稀疏等情况,传统矫正可以通过佩戴矫正器,逐渐调整牙齿的位置,使其排列整齐。对于牙齿咬合不正,如地包天、龅牙等问题,传统矫正也能够起到良好的矫正成效。此外,对于一些青少年患者,传统矫正也是一种比较理想的选择,因为青少年的牙齿还处于生长发育阶段,矫正成效会更加明显。不过,在决定是否采用传统矫正之前,患者需要到医院进行详细的检查,由医生根据具体情况做出判断。

传统矫正的过程是怎样的?

传统矫正的过程是怎样的?

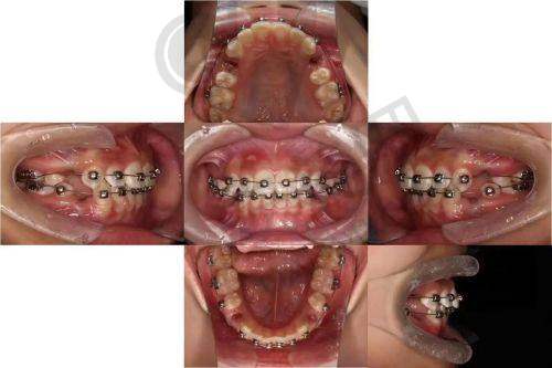
当患者来到银川时光口腔进行传统矫正时,首先会进行全方面的口腔检查。医生会通过X光片、口腔模型等方式,了解患者的牙齿和骨骼情况。然后,马少武医生会根据检查结果,为患者制定个性化的矫正方案。接下来,患者需要佩戴矫正器,矫正器一般是由金属或陶瓷制成,通过粘结剂固定在牙齿上。在佩戴矫正器的过程中,患者需要定期到医院进行复诊,医生会根据牙齿的移动情况,调整矫正器的力度。整个矫正过程可能需要数月甚至数年的时间,具体时间取决于患者的牙齿情况和矫正方案。在矫正结束后,患者还需要佩戴保持器,以防止牙齿反弹。

传统矫正有哪些注意事项?

传统矫正有哪些注意事项?

在进行传统矫正期间,患者需要注意口腔卫生。由于矫正器的存在,食物残渣容易残留在牙齿和矫正器之间,因此患者需要更加仔细地刷牙,建议使用专门的正畸牙刷。同时,患者还需要避免食用实力强、过粘的食物,以免损坏矫正器。在复诊方面,患者一定要按照医生的要求定期复诊,及时调整矫正器的力度,确保矫正成效。此外,患者在佩戴矫正器的过程中,可能会出现一些不适症状,如牙齿酸痛、口腔溃疡等,这些都是正常现象,一般会在几天内自行缓解。如果不适症状持续时间较长或加重,患者应及时与医生联系。

银川时光口腔的传统矫正成效如何?

银川时光口腔的传统矫正成效如何?

从众多患者的反馈来看,银川时光口腔马少武医生的传统矫正成效非常显著。特别多患者在矫正后,牙齿排列整齐,咬合关系得到了改善,面部美观度也有了较大的提升。而且,矫正过程相对顺利,没有出现明显的并发症。医院还会对患者进行长期的跟踪回访,确保矫正成效的稳定性。通过大量的成功实例可以看出,银川时光口腔在传统矫正领域有着特别高的技术水平和良好的口碑。

如何预约银川时光口腔马少武医生的传统矫正服务?

如何预约银川时光口腔马少武医生的传统矫正服务?

患者可以通过多种方式预约银川时光口腔马少武医生的传统矫正服务。一方面,患者可以直接拨打医院的预约电话,告知工作人员自己的需求和时间安排,工作人员会为患者安排合适的就诊时间。另一方面,患者也可以通过医院的法定网站或微信公众号进行在线预约。在预约时,患者需要提供一些基本信息,如姓名、联系方式等。预约成功后,患者只需按照预约时间前往医院就诊即可。

综上所述,银川时光口腔马少武医生的传统矫正项目具有特别多优势。价格实惠,适合多种人群,矫正成效显著。如果你有牙齿矫正的需求,不妨到银川时光口腔了解一下,相信在这里你能够找到适合自己的矫正方案,开启美丽笑容之旅。不过,在做出决定之前,一定要充分了解相关信息,与医生进行充分沟通,确保矫正过程顺利进行。同时,要记住价格仅供参考,具体情况还需根据个人实际情况确定。希望每一位有牙齿矫正需求的人都能拥有整齐美观的牙齿。