在济南,如果您正在为牙齿缺失问题而烦恼,那么济南可恩口腔的韩国neo种植牙项目或许能为您带来新的希望。尤其是由苗新海医生操刀的韩国neo种植牙,价格低至2899元起。这个价格在种植牙市场中可以说是极具吸引力的,不过需要注意的是,此价格仅供参考。韩国neo种植牙以其良好的品质和稳定性,在口腔种植领域占据着重要地位。苗新海医生在可恩口腔拥有丰富的临床经验和专精的技术,能够为患者提供优质的种植牙服务。接下来,让我们深入了解一下济南可恩口腔、苗新海医生以及韩国neo种植牙项目。

济南可恩口腔是一家在当地颇具有名度的口腔专科医院。它拥有精良的口腔诊疗设备和舒适的就诊环境。医院注重 医疗质量和服务水平,汇聚了一批专精的口腔医生团队。从牙齿清洁到复杂的口腔手术,可恩口腔都能提供全方面的服务。医院的消毒流程严格,确保患者在安心卫生的环境中接受治疗。在这里,患者可以享受到个性化的口腔治疗方案,根据自身的口腔状况和需求,选择更适合自己的治疗方式。无论是儿童的龋齿治疗,还是成年人的牙齿矫正、种植牙等项目,可恩口腔都能做到专精、效率高。

苗新海医生是济南可恩口腔的从业多年种植骨干医生。他毕业于有名的口腔医学校校,经过多年的临床实践,积累了丰富的种植牙经验。苗医生擅长各类口腔种植手术,尤其是韩国neo种植牙。他不断学习和研究全新的种植技术,能够熟练运用精良的设备和材料,为患者打造精细的种植方案。在手术过程中,苗医生操作精细,注重细节,较大程度地减少患者的痛苦和术后修复时间。他以患者为中 心,耐心解答患者的疑问,让患者在整个治疗过程中感到安心和放心。许多患者在接受苗医生的治疗后,都对他的专精水平和服务态度给予了高度评价。

韩国neo种植牙具有诸多优势。首先,它的材料质量可靠。采用了精良的生物材料,与人体组织的相容性好,能够更好地与牙槽骨结合,提高种植的成功几率。其次,neo种植牙的设计合理,模拟了自然牙齿的形态和功能,能够修复良好的咀嚼功能。在外观上,也与自然牙齿非常相似,几乎看不出是种植牙。此外,韩国neo种植牙的研发和生产技术成熟,经过了大量的临床验证,具有较高的稳定性和耐用性。患者在使用过程中,不用担心出现松动、脱落等问题,可以长期保持良好的使用成效。

韩国neo种植牙2899元起的价格体系是分阶段体现的。这个低价通常是基础的种植体价格,但实际的种植牙费用还会受到多种因素的影响。例如,种植的位置不同,费用可能会有所差异。如果是前牙种植,由于对美观度的要求较高,可能会在基础价格上有所增加。后牙种植则更注重咀嚼功能,价格可能相对较为稳定。另外,患者的口腔状况也会影响费用。如果患者的牙槽骨条件较差,需要进行骨增量等额外的手术,那么费用也会相应提高。还有,选择的牙冠材料不同,价格也会有较大的差别。陶瓷牙冠、金属烤瓷牙冠等,它们的价格各有不同。所以,2899元起只是一个基础的参考价格,具体的费用需要根据患者的实际情况来确定。

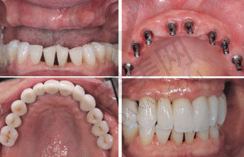
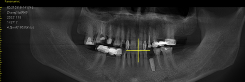
当您来到济南可恩口腔进行韩国neo种植牙时,会有一套规范的流程。首先,您需要进行全方面的口腔检查。医生会通过口腔X光片、CT等检查手段,了解您的牙槽骨密度、高度、宽度等情况,以及是否存在其他口腔疾病。然后,医生会根据检查结果,为您制定个性化的种植方案。这个方案会详细说明种植的时间、步骤、费用等信息。接下来,就是种植手术阶段。苗新海医生会在局部麻醉的情况下,将种植体植入牙槽骨内。手术过程中,医生会严格遵循无菌操作原则,确保手术的安心。术后,患者需要按照医生的嘱咐进行护理,包括服用消炎药、注意口腔卫生等。一般在种植体与牙槽骨结合稳定后,再进行牙冠的安装。整个过程可能需要几个月的时间,但在医生的专精指导下,患者可以顺利完成种植牙治疗。

济南可恩口腔非常重视韩国neo种植牙的售后服务。在患者完成种植牙手术后,医院会定期进行回访,了解患者的修复情况。如果患者在使用过程中遇到任何问题,都可以随时联系医院。医院会安排专精的医生为患者进行检查和处理。对于种植牙的维护,医院也会提供详细的指导,包括正确的刷牙方法、使用牙线等。此外,可恩口腔还为种植牙患者提供一定期限的质保服务,让患者没有后顾之忧。如果在质保期内出现种植体松动、牙冠损坏等问题,医院会根据具体情况进行免费维修或更换。

与其他品牌的种植牙相比,韩国neo种植牙具有独特的优势。在价格方面,韩国neo种植牙相对较为亲民,尤其是济南可恩口腔推出的2899元起的价格,对于特别多患者来说是一个不错的选择。在技术上,neo种植牙不断创新和改进,其表面处理技术能够更好地促进骨结合。而且,韩国的口腔产业发展快速,neo种植牙的研发和生产能够紧跟国内外潮流。在临床应用方面,neo种植牙已经有了大量的成功实例,证明了其可靠性和有效性。此外,韩国neo种植牙的适配性好,能够与多种牙冠材料搭配,满足不同患者的需求。

许多患者在济南可恩口腔接受韩国neo种植牙治疗后,都分享了他们的真实体验。有患者表示,从就诊开始,医院的工作人员就非常热情周到,为他们提供了详细的询问和指导。在手术过程中,苗新海医生的操作非常熟练,几乎没有感觉到疼痛。术后的修复也特别顺利,按照医生的嘱咐进行护理,特别快就修复了正常的饮食。而且,种植牙的成效非常好,无论是外观还是咀嚼功能,都与自然牙齿无异。还有患者提到,医院的售后服务让他们特别放心,有任何问题都能及时得到解决。这些真实的体验表明,济南可恩口腔的韩国neo种植牙项目确实能够为患者带来良好的治疗成效。

在选择种植牙项目时,患者需要综合考虑多个因素。首先,要了解不同品牌种植牙的特点和优势。像韩国neo种植牙具有价格实惠、技术成熟等优势,但其他品牌也有各自的特点。患者可以根据自己的经济实力来选择。如果预算有限,韩国neo种植牙2899元起的价格可能是一个不错的选择;如果对种植牙的品质和性能有更高的要求,可以考虑一些高端品牌。其次,要考虑医生的专精水平。一个经验多、技术不错的医生能够提高种植的成功几率和成效。在济南可恩口腔,苗新海医生就是一位值得信赖的种植骨干医生。末尾,患者还需要关注医院的服务质量和口碑。一个服务周到、口碑良好的医院,能够为患者提供更好的治疗体验和售后服务。
综上所述,济南可恩口腔的韩国neo种植牙项目,在苗新海医生的专精操作下,以2899元起的价格优势,为牙齿缺失患者提供了一个优质的选择。韩国neo种植牙本身具有诸多优势,加上可恩口腔规范的流程和良好的售后服务,能够让患者在舒适、安心的环境中完成种植牙治疗。不过,患者在选择时,还是要根据自己的实际情况,综合考虑各方面因素,做出更适合自己的决策。希望更多的患者能够通过济南可恩口腔的韩国neo种植牙,重拾健康美丽的笑容。