当前位置:网站主页 > 社区 > 乌鲁木齐优佳贝口腔医院怎么样?正规资质、技术高超、价格合理值得信赖!

乌鲁木齐优佳贝口腔医院怎么样?正规资质、技术高超、价格合理值得信赖!

更新时间:2025-10-14     编辑:林岫     阅读量:

在乌鲁木齐,牙齿出现问题时,选择一家靠谱的口腔医院至关重要。乌鲁木齐优佳贝口腔医院就是当地备受关注的一家口腔机构,特别多人都想知道这家医院怎么样。它的正规性、治疗项目、医生技术、收费标准以及服务体验等方面,都是大家关心的重点。接下来,我们就全方面地了解一下乌鲁木齐优佳贝口腔医院,看看它是否值得大家选择。

乌鲁木齐优佳贝口腔医院正规吗?

乌鲁木齐优佳贝口腔医院正规吗?

乌鲁木齐优佳贝口腔医院是经过乌鲁木齐市沙依巴克区卫生健康委员会批准成立的,拥有正规的一级医院资质,这一信息可在国内医疗机构官网查询到。其总院属于医院资质,相比门诊部和诊所性质的牙科,在硬件及医生资质方面更具优势。而且,优佳贝口腔在乌鲁木齐有多家连锁门店,还在库尔勒市、昌吉市开设了分院,能发展到这样的规模,足以证明其正规性和可靠性。所以,大家去这家医院看牙完全不用担心正规性问题,可以放心就诊。

乌鲁木齐优佳贝口腔医院的背景如何?

乌鲁木齐优佳贝口腔医院的背景如何?

关于成立时间,有资料显示乌鲁木齐优佳贝口腔医院成立于2016年,也有表明是2013年。它是当地规模较大的口腔机构,总院位于乌鲁木齐市友好南路421号信达·金领大厦2 - 3层,占地面积达2400平方米。医院环境优雅舒适,设有独立诊室、儿童诊室以及齐全的口腔诊疗设备。此外,优佳贝口腔在新疆地区开设了多家分店,包括乌鲁木齐市的六家连锁店,以及昌吉和库尔勒的分店,强大的品牌影响力和广泛的服务网络可见一斑。

乌鲁木齐优佳贝口腔医院的地址在哪,交通便利吗?

乌鲁木齐优佳贝口腔医院的地址在哪,交通便利吗?

乌鲁木齐优佳贝口腔医院西北路总院位于新疆乌鲁木齐市沙依巴克区友好南路421号金领时代2 - 3楼。此外,还有多家分院,如金街口腔在新疆乌鲁木齐市经济技术开发区澎湖路188号万达广场四号商业楼3楼;洪志口腔在新疆乌鲁木齐市新市区北京南路372号(银通大厦一楼)等。其地理位置优越,周边交通便利,患者无论是自驾还是使用公共交通,都能方便快捷地抵达医院。而且医院周围设施完善,患者在就医前后也能轻松找到餐饮和休息场所。

乌鲁木齐优佳贝口腔医院有哪些治疗项目?

乌鲁木齐优佳贝口腔医院有哪些治疗项目?

优佳贝口腔医院提供多种口腔治疗服务,涵盖了常见的牙齿检查、洁牙、镶牙、牙齿矫正等一系列项目。诊疗项目包括口腔科、牙体牙髓病、牙周病、口腔粘膜病、儿童口腔、口腔颌面外科、口腔修复、口腔正畸、口腔种植、口腔麻醉、预防口腔等,还设有医学影像科的X线诊断等。医院配备了可靠的医疗设备和专精的医疗团队,能够为患者提供个性化的诊疗方案,让患者不仅能享受到有效的治疗,还能获得专精的口腔健康询问,帮助他们更好地维护口腔健康。

乌鲁木齐优佳贝口腔医院的医生技术怎么样?

乌鲁木齐优佳贝口腔医院的医生技术怎么样?

在医生选择上,乌鲁木齐优佳贝口腔医院比较重视,所有上手的医生都是主治医生级别,由医疗院长进行把控。医院拥有一支经验多的正畸医生团队,如米丛波、王思樾、夏璐等医生,他们擅长隐形矫正、舌侧矫正、金属矫正等多种矫正技术,能够根据患者的具体情况制定个性化的矫正方案。医院还配备了itero数字化口内扫描仪,可在短时间内完成扫描取模,提高治疗效率。

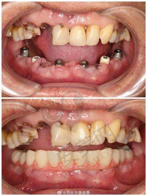
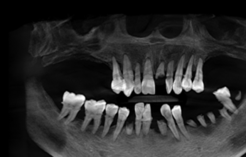
在牙齿种植方面,优佳贝口腔同样表现出色。医院引进了国内外新型的口腔诊疗设备,如数字影像系统、微痛麻醉技术等,确保治疗的精细性和可靠性。种植总监梁照忠院长在种植牙方面具有较高的技术水平,能够接诊复杂的种植手术,如植骨手术、上颌窦内外提升术等。

乌鲁木齐优佳贝口腔医院的收费标准合理吗?

乌鲁木齐优佳贝口腔医院的收费标准合理吗?

乌鲁木齐优佳贝口腔医院的收费标准相对合理,且提供多种优惠活动。例如,韩国科威种植牙套餐5280元起,韩国奥齿泰种植牙套餐6280元起;金属托槽矫正9000元起,时代天使隐形矫正15800元起。针对儿童的早期肌功能干预矫治4500元起,全口涂氟单次50元起,窝沟封闭单颗60元起。此外,医院还提供气动超声波洁牙129元起,美国进口科尔树脂补牙259元起等服务。不过需要注意的是,这些价格并不包含所有可能的费用,如骨粉、骨膜等额外材料费用可能需要额外支付。总体而言,医院秉持“透明、合理”的原则,治疗价格在行业内颇具竞争力,且定期推出各种优惠活动,能减轻患者的经济压力。

乌鲁木齐优佳贝口腔医院的服务体验如何?

乌鲁木齐优佳贝口腔医院的服务体验如何?

优佳贝口腔医院不仅注重技术的提升,更强调患者的就医体验。医院内部环境整洁舒适,设有独立的候诊区域,让患者在等待时感到放松。医院的医护人员经过专精培训,具备良好的沟通能力和服务意识,能够耐心解答患者的疑问,为患者提供细致周到的服务。这种人性化的服务理念,使得患者在就医过程中感到安心与舒适。许多患者在完成治疗后,对乌鲁木齐优佳贝口腔的技术和服务表示高度认可,认为医生技术让人放心,治疗过程温柔细心,设备好,消毒工作做得好,让人感觉特别舒适和放心。治疗后,医生还会给予特别多关于口腔护理的建议,并嘱咐患者定期复诊。

乌鲁木齐优佳贝口腔医院有儿童齿科吗?

乌鲁木齐优佳贝口腔医院有儿童齿科吗?

乌鲁木齐优佳贝口腔医院当然有儿童齿科,而且还是专门的儿牙科室,男孩和女孩的诊疗室是分开的。给孩子看牙的医生也都是专门诊疗儿童牙齿的,如果孩子配合好,1岁多的儿童也是可以接诊的。儿牙的看牙区域都布置有带卡通的图案,比较温馨,可以让小朋友在看牙的同时放松心情,像儿童矫正做的mrc等也都是可以做的。

乌鲁木齐优佳贝口腔医院如何预约挂号?

乌鲁木齐优佳贝口腔医院如何预约挂号?

为了方便患者就医,乌鲁木齐优佳贝口腔医院提供了多种预约挂号方式。电话预约可以直接拨打医院的预约电话(0991 - 45520或0991 - 45639)进行预约挂号,客服人员会根据患者的需求和情况,为患者安排合适的就诊时间和医生。网络预约可以通过医院的法定网站或微信小程序进行在线预约挂号,只需填写相关信息并选择就诊时间和医生即可完成预约,这种方式方便快捷,适合忙碌的上班族和学生群体。现场预约则可以直接到医院的接诊窗口处进行,适合需要立即就医或无法通过网络和电话进行预约的患者。

综上所述,乌鲁木齐优佳贝口腔医院是一家正规、可靠、技术娴熟的私立牙科机构。它在医院背景、医生技术、患者评价、收费标准以及服务体验等方面都表现出色。无论是常见的牙齿问题,还是复杂的种植、正畸项目,都能为患者提供有效的治疗方案。如果您正在为口腔问题而烦恼,不妨考虑乌鲁木齐优佳贝口腔医院,相信它会是您守护口腔健康的不错选择。