一直以来,我都对自己的牙齿颜色不太满意,牙齿不够洁白让我在与人交流时总是不太自信,不敢开怀大笑。偶然间了解到益阳德美口腔医院的牙齿贴面美白技术,听说它能有效改善牙齿颜色,让牙齿变得洁白亮丽,我便怀着期待的心情决定去尝试一下。接下来,我就跟大家详细分享一下我在益阳德美口腔医院进行牙齿贴面美白的就诊全过程。

在决定去益阳德美口腔医院之前,我做了不少功课。通过网络搜索、询问身边有过看牙经历的朋友,我发现这家医院的口碑相当不错。特别多患者都分享了自己在德美口腔的良好就诊体验,称赞医院的医生专精负责、护士服务周到,而且医院的设备也特别精良。看到这些好评,我心里踏实了不少,也更加坚定了去这家医院的决心。当我来到医院时,亲身感受到了医院温馨舒适的环境,从大厅的布置到各个科室的装修,都给人一种专精、整洁的感觉。前台的工作人员热情地接待了我,帮我安排好了就诊流程,这让我对接下来的治疗充满了信心。

我见到医生后,医生首先详细询问了我的牙齿情况和过往病史,了解我对牙齿美白的期望和需求。然后,医生为我安排了一系列的检查。先是进行了口腔内部的全方面检查,医生用专精的工具仔细查看了我的牙齿状况,包括牙齿的排列、龋齿情况、牙龈健康等。接着,还拍了口腔X光片,这样可以更清晰地了解牙齿的内部结构。之后,医生根据检查结果,为我制定了个性化的牙齿贴面美白方案。医生耐心地向我解释了方案的具体内容,包括使用的贴面材料、治疗的步骤以及可能出现的成效和注意事项等。整个过程中,医生讲解得非常细致,让我对治疗有了充分的了解。

在选择贴面材料时,医生给我介绍了几种不同的类型。有瓷贴面,它的优点是美观度高,仿真成效好,颜色自然,而且耐磨性强,使用寿命长。还有树脂贴面,这种贴面价格相对较低,操作也比较简单,能在较短时间内完成治疗。医生根据我的牙齿情况和个人需求,建议我选择瓷贴面。他说瓷贴面更适合我的牙齿状况,能达到更好的美白和修复成效。我听取了医生的建议,更终决定使用瓷贴面。医生还向我展示了不同品牌和型号的瓷贴面样本,让我直观地感受它们的颜色和质地,这让我对即将使用的贴面有了更清晰的认识。

正式开始治疗时,医生先对我的牙齿进行了清洁和打磨。清洁牙齿是为了去除牙齿表面的污垢和菌斑,让贴面能够更好地贴合。打磨牙齿时,医生非常小心,尽量减少对牙齿的损伤。在这个过程中,我稍微有点紧张,但医生一直在旁边安慰我,让我放松。打磨牙齿时会有一些轻微的感觉,但并不疼,就像牙齿表面被轻轻摩擦一样。打磨完成后,医生取了牙齿的模型,这个模型会被送到专精的加工厂制作贴面。等待贴面制作的过程中,医生给我戴上了临时贴面,这样既不影响我的日常生活,又能保护打磨后的牙齿。
当贴面制作完成后,我再次来到医院进行贴面的粘贴。医生先将贴面在我的牙齿上进行试戴,调整合适的位置和角度,确保贴面与牙齿的贴合度和美观度。然后,使用特殊的粘结剂将贴面牢固地粘贴在牙齿上。粘贴过程中,医生会不断地检查贴面的情况,确保每一颗牙齿的贴面都理想贴合。整个粘贴过程比较顺利,没有什么明显的疼痛感。粘贴完成后,医生还对牙齿进行了末尾的打磨和抛光,让牙齿表面更加光滑,看起来更加自然。

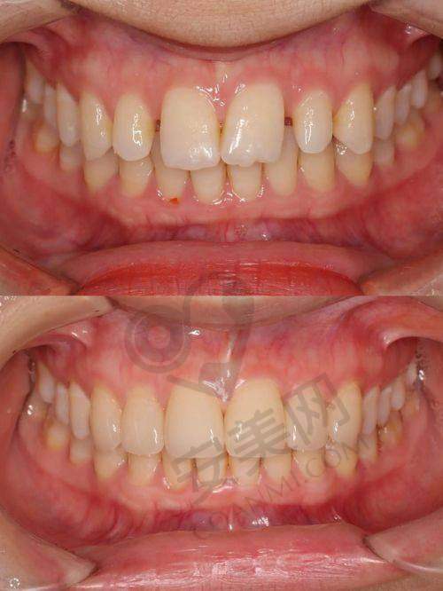
当治疗结束,我看到镜子里自己的牙齿时,真的被惊艳到了。牙齿变得洁白如雪,而且非常自然,完全看不出是贴了面的。之前牙齿上的一些小瑕疵,如色斑、轻微的牙齿不齐等问题都得到了良好的改善。我终于可以自信地露出灿烂的笑容了。刚做完贴面美白后,牙齿会有一些轻微的敏感,这是正常现象。医生提前就跟我说明了这一点,并给我开了一些缓解敏感的药物,还叮嘱我在短期内避免吃过冷、过热、过酸、过甜的食物。随着时间的推移,牙齿敏感的症状逐渐减轻,大约一周后就基本消失了。
在日常生活中,我发现牙齿贴面美白不仅让我的牙齿变得美观,还对我的生活产生了积极的影响。我变得更加自信了,在社交场合中也更加愿意与人交流和互动。而且,牙齿贴面的清洁和护理也比较简单,只要像平时一样正常刷牙、使用牙线就可以了。

益阳德美口腔医院的牙齿贴面美白技术有特别多独特的地方。首先,医院采用的是个性化定制方案。医生会根据每个患者的牙齿情况、面部特征和个人需求,制定更适合的贴面方案,确保治疗成效能够达到患者的期望。其次,医院使用的贴面材料都是经过严格筛选的优质材料,确保了贴面的质量和安心性。在治疗过程中,医生的技术非常不错,操作熟练、精细,能够较大程度地减少对牙齿的损伤,同时确保贴面的贴合度和美观度。此外,医院还提供了完善的售后服务,医生会定期回访患者,了解牙齿的情况,并给予专精的护理建议。
总的来说,我在益阳德美口腔医院的这次牙齿贴面美白就诊经历非常满意。从前期的询问、检查,到治疗过程中的每一个环节,再到治疗后的成效和护理,都让我感受到了医院的专精和用心。如果你也和我一样对自己的牙齿颜色不满意,不妨考虑一下益阳德美口腔医院的牙齿贴面美白技术,相信它会给你带来意想不到的惊喜,让你拥有自信美丽的笑容。