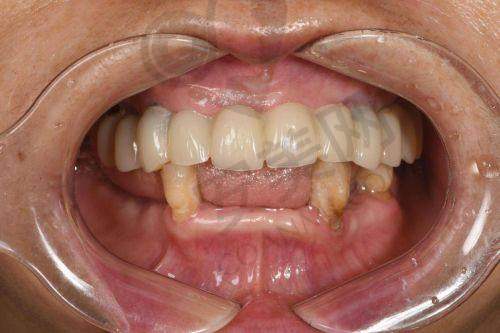
在如今这个科技飞速发展的时代,特别多曾经看似难以解决的问题都有了新的解决方案,就像牙齿缺失这一困扰着不少人的难题,全口牙齿种植技术就为患者带来了新的希望。我之前因为牙齿问题,全口牙齿状况不佳,吃饭不香,生活质量大打折扣。在朋友的推荐下,我来到了成都贝臣口腔医院进行全口牙齿种植。在这里,我不仅体验到了专精的医疗服务,还收获了令人满意的诊疗成效。接下来,我就详细地和大家分享一下我在成都贝臣口腔医院全口牙齿种植的就诊过程、诊疗成效以及我的感受,希望能给有类似需求的朋友们一些参考。

在决定进行全口牙齿种植之前,我做了大量的功课。我在网上搜索相关信息,发现成都贝臣口腔医院的口碑相当不错。特别多患者都分享了他们在这里的就诊经历,对医院的医生技术、服务态度等方面都给予了高度评价。而且,医院拥有精良的口腔诊疗设备,这让我对其医疗水平有了更多的信心。同时,医院的全口牙齿种植技术在业内处于领跑地位,有特别多成功的实例。再加上朋友的推荐,我更终决定选择成都贝臣口腔医院。

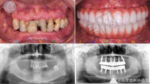
第一次来到成都贝臣口腔医院,给我的第一印象就是环境整洁、舒适,医护人员的态度也非常热情。我挂了号之后,特别快就见到了医生。医生首先详细地询问了我的牙齿病史、目前的症状以及我的期望。然后,安排我进行了一系列的口腔检查,包括口腔X光片、CT扫描等。这些检查非常全方面,让医生能够正确地了解我的口腔状况,包括牙槽骨的密度、高度、宽度等。
检查结束后,医生根据我的检查结果,为我制定了个性化的全口牙齿种植方案。医生耐心地向我解释了方案的具体内容,包括种植体的选择、种植的步骤、手术的风险以及预期的成效等。他还让我看了一些类似实例的前后对比照片,让我对整个种植过程有了更直观的认识。在这个过程中,我有任何疑问,医生都一一为我解答,让我心里踏实了许多。

确定好种植方案后,医生给我开了一些术前的准备工作。首先,我需要进行口腔清洁,包括洗牙等,以确保口腔内没有炎症。医生还叮嘱我在术前要注意休息,保持良好的身体状态,避免感冒等疾病。同时,要避免在术前服用一些可能影响凝血功能的药物。
另外,医生还向我介绍了手术的大致流程和术后的护理注意事项。他强调了术后饮食、口腔卫生等方面的重要性,让我提前做好心理准备。在这个阶段,医护人员还会定期和我沟通,了解我的身体状况和心理状态,给予我鼓励和支持。

终于到了手术的日子,我心里既紧张又期待。进入手术室后,护士先为我进行了口腔消毒等准备工作。然后,医生再次和我确认了种植方案,并安慰我不要紧张。手术开始时,医生先为我进行了局部麻醉,整个过程中我并没有感觉到明显的疼痛。
在手术过程中,医生和护士配合得非常默契,他们操作熟练、精细。我能感觉到他们在小心翼翼地进行每一个步骤,尽量减少对我的伤害。虽然手术时间比较长,但我并没有感到特别的不适。手术结束后,医生向我详细说明了手术的情况,告诉我手术非常成功,让我悬着的心终于落了地。

术后的修复阶段是非常关键的。医生给我开了一些消炎、止痛的药物,并叮嘱我要按时服用。在饮食方面,我需要吃一些软烂、易消化的食物,避免吃辛辣、刺激性的食物。同时,要注意口腔卫生,使用医生推荐的漱口水进行漱口,避免伤口感染。
在修复期间,我按照医生的嘱咐定期到医院进行复查。医生会检查我的伤口愈合情况、种植体的稳定性等。每次复查,医生都会根据我的修复情况调整护理方案。在医护人员的悉心指导下,我的伤口愈合得非常快,没有出现任何并发症。

成都贝臣口腔医院的全口牙齿种植技术有特别多特色之处。首先,医院采用的是精良的数字化种植技术。通过口腔CT扫描等设备,医生可以严谨地获取患者口腔的三维数据,然后利用计算机软件进行模拟种植,制定出更适合患者的种植方案。这样可以大大提高种植的正确性和成功几率。
其次,医院拥有经验多的医生团队。这些医生都经过了专精的培训,具有丰富的临床经验。他们能够根据患者的不同情况,灵活运用各种种植技术,为患者提供个性化的治疗方案。而且,医生们在手术过程中操作熟练、精细,能够有效地减少手术的创伤和并发症的发生。
另外,医院还注重患者的体验和服务。从初诊到术后复查,医护人员都会全程陪伴患者,为患者提供贴心的服务。他们会耐心地解答患者的疑问,给予患者心理上的支持和鼓励。在医院里,患者能够感受到家一般的温暖。

经过一段时间的修复,我的全口牙齿种植成效终于显现出来了。现在,我的牙齿看起来非常自然,和真牙几乎没有区别。而且,牙齿的咀嚼功能也得到了较大的修复,我可以像以前一样正常地吃饭了。这让我感到非常开心,生活质量也得到了较大的提高。
更重要的是,因为牙齿问题得到了解决,我变得更加自信了。以前因为牙齿缺失,我不敢大声说话、不敢笑,现在这些顾虑都没有了。我可以尽情地享受生活,和朋友们交流也更加自在了。

回顾在成都贝臣口腔医院进行全口牙齿种植的整个过程,我感到非常满意。从初诊时的全方面检查和方案制定,到手术过程中的专精操作,再到术后的精心护理和复查,每一个环节都让我感受到了医院的专精和用心。医院的精良技术、经验多的医生团队以及贴心的服务,都为我的全口牙齿种植提供了有力的保护。
如果你也有全口牙齿缺失的困扰,不妨考虑一下成都贝臣口腔医院。相信在这里,你也能像我一样,收获健康、美丽的牙齿,重拾自信和幸福的生活。