一直以来,我都对自己参差不齐的牙齿感到十分苦恼,不仅影响美观,还在一定程度上影响了我的自信心。一次偶然的机会,我了解到娄底爱牙邦口腔医院的牙齿隐形矫正技术,就像在黑暗中看到了一丝曙光,让我重新燃起了改变的希望。怀着忐忑又期待的心情,我决定前往娄底爱牙邦口腔医院,开启我的牙齿隐形矫正之旅。在这篇文章里,我将详细地分享我在娄底爱牙邦口腔医院进行牙齿隐形矫正的整个就诊过程、诊疗成效以及我的真实感受,希望能给同样有牙齿矫正需求的朋友们一些参考。

在决定去娄底爱牙邦口腔医院之前,我做了不少功课。我在网上查看了特别多患者的评价,大家对这家医院的医生技术、服务态度等方面都给予了特别高的评价。而且,娄底爱牙邦口腔医院拥有精良的口腔诊疗设备和专精的医生团队,这让我对它的专精性有了较大的信心。我还了解到,医院一直秉持着以患者为中 心的服务理念,致力于为患者提供优质、效率高的口腔诊疗服务。基于这些了解,我觉得娄底爱牙邦口腔医院是一家非常靠谱的口腔医院,于是我毫不犹豫地选择了它。

我第一次走进娄底爱牙邦口腔医院,就被它温馨舒适的环境所吸引。前台的工作人员非常热情,主动询问我的需求,并引导我完成了挂号等一系列手续。随后,医生带我进行了全方面的口腔检查,包括拍X光片、取牙齿模型等。医生一边检查一边耐心地给我讲解我的牙齿情况,让我对自己的牙齿问题有了更清晰的认识。根据我的检查结果,医生为我制定了个性化的牙齿隐形矫正方案。他详细地向我介绍了隐形矫正的原理、过程以及可能会出现的情况,还让我观看了一些成功实例的视频。整个初体验过程,医生和工作人员的专精和耐心让我感到十分安心。

经过一段时间的等待,我的隐形矫正器终于做好了。当医生把矫正器戴到我牙齿上时,并没有我想象中的那么难受。隐形矫正器是透明的,几乎看不出戴了矫正器,这让我在日常生活中也不会感到尴尬。刚开始戴上的时候,牙齿会有一些轻微的酸胀感,这是正常的现象,说明矫正器正在发挥作用。医生提醒我,在刚开始佩戴的几天里,可能会不太适应,说话和吃饭都会受到一些影响,但只要坚持佩戴,这种不适感会逐渐减轻。果然,过了几天,我就慢慢适应了矫正器,说话和吃饭也修复了正常。

医生告诉我,佩戴隐形矫正器期间有特别多需要注意的地方。首先,要确保每天佩戴矫正器的时间不少于20小时,只有这样才能确保矫正成效。其次,在吃饭和刷牙的时候要把矫正器取下来,避免食物残渣残留在矫正器上,影响口腔卫生。取下来的矫正器要放在专门的盒子里,避免丢失或损坏。另外,要按照医生的嘱咐定期更换矫正器,一般每两周更换一副新的矫正器。在佩戴矫正器期间,还要注意口腔卫生,每天至少刷牙两次,使用牙线清洁牙缝,定期到医院进行复诊。

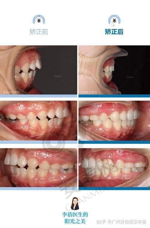
随着时间的推移,我明显感觉到牙齿在慢慢发生变化。每隔一段时间去医院复诊,医生都会根据我的牙齿矫正情况对矫正方案进行调整。经过几个月的矫正,我的牙齿变得越来越整齐了,之前参差不齐的情况有了较大的改善。而且,隐形矫正器并没有影响我的日常生活和社交,我可以像往常一样正常工作、学习和生活。现在,我已经能够自信地露出笑容了,这种改变让我感到非常开心。娄底爱牙邦口腔医院的牙齿隐形矫正技术真的非常有效,让我实现了拥有整齐牙齿的梦想。

在整个牙齿隐形矫正的过程中,娄底爱牙邦口腔医院的服务给我留下了深刻的印象。医院的医生和工作人员都非常热情、专精,他们会耐心地解答我的每一个问题,让我在就诊过程中没有任何后顾之忧。每次复诊的时候,医生都会仔细检查我的牙齿矫正情况,根据我的实际情况调整矫正方案。而且,医院还会定期回访我,了解我佩戴矫正器的感受和口腔卫生情况,给予我专精的建议和指导。此外,医院的环境也非常舒适,让人在就诊过程中感到放松和愉悦。

娄底爱牙邦口腔医院的牙齿隐形矫正技术具有特别多特色。首先,隐形矫正器是透明的,几乎隐形,不会影响美观,这对于爱美的人士来说非常友好。其次,隐形矫正器可以自行摘戴,方便清洁口腔,能够有效避免传统矫正器容易导致的口腔卫生问题。而且,隐形矫正技术采用了精良的计算机辅助设计和制造技术,能够根据患者的牙齿情况严谨地设计矫正方案,提高矫正成效和效率。另外,隐形矫正过程相对舒适,疼痛感较轻,患者的体验感更好。这些特色让娄底爱牙邦口腔医院的牙齿隐形矫正技术在众多口腔矫正技术中脱颖而出。
总的来说,我在娄底爱牙邦口腔医院进行牙齿隐形矫正的经历非常愉快,也非常成功。从更初的犹豫和担忧,到现在看到牙齿逐渐变得整齐,我对自己的选择感到非常庆幸。娄底爱牙邦口腔医院以其专精的技术、优质的服务和舒适的环境,为我提供了一次难忘的就诊体验。如果你也有牙齿矫正的需求,不妨考虑一下娄底爱牙邦口腔医院的牙齿隐形矫正技术,相信它会给你带来意想不到的惊喜。