当前位置:网站主页 > 日记 > 深圳新安麦芽口腔牙齿隐形矫正就诊体验:舒适无痛,悄悄变美重塑自信笑容

深圳新安麦芽口腔牙齿隐形矫正就诊体验:舒适无痛,悄悄变美重塑自信笑容

更新时间:2025-10-17     编辑:麋鹿     阅读量:

一直以来,我都对自己参差不齐的牙齿耿耿于怀。每次笑的时候,都不敢张大嘴巴,生怕别人注意到我那不够整齐的牙齿。在这个看脸的时代,牙齿的美观程度也在一定程度上影响着个人的形象和自信心。我在百度上搜索各种牙齿矫正的信息,看到了特别多不同的实例和医院推荐,其中深圳新安麦芽口腔的牙齿隐形矫正技术吸引了我的目光。我决定去尝试一下,看看这种精良的矫正技术是否真的能改善我的牙齿状况。于是,我踏上了在深圳新安麦芽口腔进行牙齿隐形矫正的就诊之旅。

为什么选择深圳新安麦芽口腔进行牙齿隐形矫正?

为什么选择深圳新安麦芽口腔进行牙齿隐形矫正?

在决定进行牙齿矫正后,我在网上做了大量的功课。深圳新安麦芽口腔在众多口腔机构中脱颖而出。它有着良好的口碑,特别多患者都分享了自己在这里成功矫正牙齿的经历。而且,医院拥有专精的医生团队,他们在牙齿矫正领域有着丰富的经验和深厚的专精知识。同时,医院引进了精良的牙齿隐形矫正技术,这种技术相比传统的矫正方式有着诸多优势,比如美观、舒适、方便等。基于这些因素,我毫不犹豫地选择了深圳新安麦芽口腔。

初次就诊体验如何?

初次就诊体验如何?

我第一次走进深圳新安麦芽口腔,就被它温馨舒适的环境所吸引。前台的工作人员热情地接待了我,引导我填写了相关的信息表格,并安排我等待医生。等待的过程并不漫长,特别快就轮到我了。负责我的医生非常和蔼可亲,他仔细地询问了我的牙齿情况和矫正需求,然后为我进行了全方面的口腔检查。医生使用了精良的口腔检查设备,能够清晰地看到我牙齿的内部结构和排列情况。检查结束后,医生耐心地向我解释了我的牙齿问题,并为我制定了详细的矫正方案。他还向我介绍了牙齿隐形矫正的原理和过程,让我对整个矫正过程有了更清晰的了解。

牙齿隐形矫正技术有什么特色?

牙齿隐形矫正技术有什么特色?

美观性是牙齿隐形矫正技术较大的特色之一。与传统的金属牙套不同,隐形矫正器是透明的,几乎看不出来,不会影响我的外观形象。在矫正期间,我可以正常地社交和工作,不用担心别人异样的眼光。舒适性也是隐形矫正的一大优势。隐形矫正器是根据每个人的牙齿模型定制的,贴合牙齿表面,不会像传统牙套那样对口腔黏膜造成刺激和磨损,佩戴起来非常舒适。而且,隐形矫正器可以自行摘戴,在吃饭、刷牙的时候可以取下来,这样就不会影响正常的饮食和口腔卫生。另外,隐形矫正技术还具有精细性。医生可以通过计算机模拟矫正过程,正确地预测牙齿的移动方向和矫正成效,从而制定出更加科学合理的矫正方案。

佩戴隐形矫正器的过程是怎样的?

佩戴隐形矫正器的过程是怎样的?

在确定了矫正方案后,医生为我取了牙齿模型,然后定制了隐形矫正器。几天后,我再次来到医院,医生为我戴上了第一副隐形矫正器。刚开始佩戴的时候,会有一些轻微的不适感,感觉牙齿有点紧绷,但这种感觉并不强烈,特别快就适应了。医生叮嘱我每天要佩戴隐形矫正器至少20 - 22个小时,只有在吃饭和刷牙的时候才能取下来。而且,每隔一段时间就要更换一副新的矫正器,随着矫正器的不断更换,牙齿会逐渐移动到理想的位置。在佩戴隐形矫正器的过程中,我严格按照医生的要求进行,定期到医院进行复诊。每次复诊,医生都会检查我的牙齿矫正情况,根据牙齿的移动情况调整矫正方案。

矫正过程中遇到了哪些问题?是如何解决的?

矫正过程中遇到了哪些问题?是如何解决的?

在矫正过程中,我也遇到了一些小问题。有一次,我不小心把隐形矫正器弄丢了一副。我非常着急,赶紧联系了医生。医生安慰我不要着急,让我尽快到医院重新取模制作新的矫正器。还有一次,我在佩戴矫正器的时候,感觉牙齿的疼痛比平时更明显。我向医生询问,医生解释说这可能是因为牙齿正在快速移动,属于正常的矫正反应。他建议我可以吃一些软食,避免咀嚼实力强的食物,同时可以使用一些缓解疼痛的口腔护理产品。按照医生的建议,我的不适感特别快就缓解了。

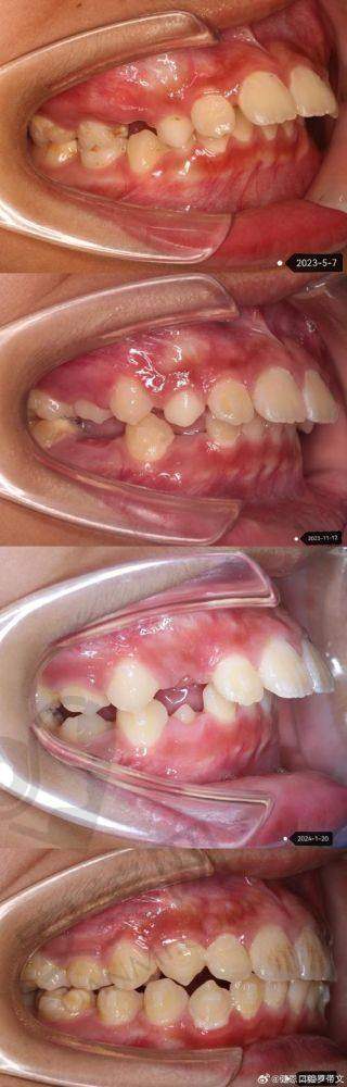
矫正成效如何?

矫正成效如何?

随着时间的推移,我明显感觉到了牙齿的变化。原本参差不齐的牙齿逐渐变得整齐起来,咬合关系也得到了改善。在矫正了一段时间后,我照镜子的时候都能看到自己牙齿的明显变化,这让我非常开心。现在,我的牙齿已经基本矫正到了理想的位置,笑容也变得更加自信了。而且,牙齿隐形矫正并没有对我的生活造成太大的影响,我可以像往常一样正常生活和工作。

在深圳新安麦芽口腔进行牙齿隐形矫正的总体感受如何?

在深圳新安麦芽口腔进行牙齿隐形矫正的总体感受如何?

总体来说,我在深圳新安麦芽口腔进行牙齿隐形矫正的体验非常好。从初次就诊到矫正结束,医院的每一位工作人员都非常专精和负责。医生们不仅技术不错,而且态度和蔼可亲,能够耐心地解答我的每一个问题。护士和前台工作人员也都热情周到,让我在就诊过程中感受到了温暖和关怀。牙齿隐形矫正技术也确实给我带来了较大的改变,让我拥有了整齐美观的牙齿。我非常感谢深圳新安麦芽口腔的医生和工作人员,是他们让我重新找回了自信的笑容。

通过这次在深圳新安麦芽口腔进行牙齿隐形矫正的经历,我深刻地体会到了牙齿矫正对个人形象和生活的重要影响。如果你也和我一样,有着牙齿不整齐的困扰,不妨考虑一下深圳新安麦芽口腔的牙齿隐形矫正技术。相信在这里,你也能像我一样,拥有一口整齐漂亮的牙齿,绽放自信的笑容。