一直以来,我都对自己的牙齿状况不太满意,牙齿不够洁白,笑起来的时候总觉得不够自信。在朋友的推荐下,我了解到了太原可睦口腔医院的牙齿贴面美白技术。怀着期待又有些忐忑的心情,我决定前往这家医院体验一下牙齿贴面美白。当我走进医院,温馨舒适的环境让我紧张的心情舒缓了不少。医院的工作人员热情地接待了我,引导我完成各项登记手续。在等待的过程中,我看到了特别多关于牙齿贴面美白的成功实例展示,这让我对接下来的就诊充满了信心。我心里不断地想着,这次能否通过牙齿贴面美白让我的牙齿焕然一新,重新找回自信的笑容呢?

在与医生沟通的过程中,我详细了解了牙齿贴面美白这项技术。医生告诉我,牙齿贴面美白是一种微创的牙齿美容方法,它是将一层薄薄的贴面材料粘贴在牙齿表面,以遮盖牙齿的颜色和形态缺陷,从而达到美白和改善牙齿外观的成效。这种贴面材料具有良好的生物相容性和美观性,能够与自然牙齿相融合,几乎看不出人工修复的痕迹。与传统的牙齿美白方法相比,牙齿贴面美白的成效更加持久,而且可以根据个人的牙齿情况和需求进行个性化定制。我听着医生的介绍,心里对这项技术有了更清晰的认识,也更加期待它能给我带来的改变。

首先,医生对我的牙齿进行了全方面的检查。他使用专精的口腔检查设备,仔细地观察了我的牙齿状况,包括牙齿的颜色、形态、健康程度等。在检查过程中,医生还耐心地向我解释每一个细节,让我了解自己牙齿存在的问题。接着,医生根据我的牙齿情况和个人需求,为我制定了个性化的牙齿贴面美白方案。他给我展示了不同材质和颜色的贴面样本,让我选择更适合自己的方案。我在选择的过程中非常纠结,因为每一种看起来都特别不错。医生看出了我的犹豫,他根据我的肤色、唇色等因素,给我提出了专精的建议,更终我确定了方案。
然后就是牙齿的预备工作。医生会在尽量保留牙齿原有结构的基础上,对牙齿表面进行轻微的打磨,为贴面的粘贴创造良好的条件。这个过程中,医生会使用局部麻醉,所以我并没有感觉到明显的疼痛。只是在等待麻醉生效的时候,心里还是有些紧张。在预备牙齿的过程中,医生的操作非常熟练和精细,让我感到特别安心。
接下来就是贴面的制作。医生会取我的牙齿模型,然后将模型送到专精的牙科技工室进行贴面制作。在等待贴面制作的这段时间里,我需要佩戴临时贴面,以保护预备好的牙齿。临时贴面虽然没有更终的贴面那么美观,但它也能起到一定的保护作用。大约过了一段时间,我的贴面制作完成了。医生再次为我进行贴面的试戴和调整。他会仔细地检查贴面的贴合度、颜色和形态,确保它与我的牙齿和面部整体协调。如果有不合适的地方,医生会及时进行调整,直到达到满意的成效为止。末尾,医生使用专精的粘结剂将贴面牢固地粘贴在牙齿表面。在粘贴的过程中,医生会使用特殊的光照设备来加速粘结剂的固化,整个过程非常快速。

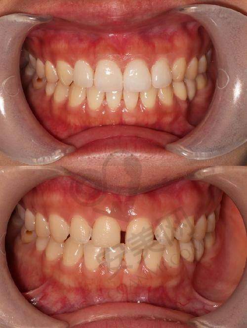
当医生完成贴面粘贴后,我迫不及待地对着镜子看了看自己的牙齿。哇!我简直不敢相信自己的眼睛,牙齿变得洁白整齐,就像换了一口新牙一样。之前牙齿上的色斑、缝隙等问题都不见了,笑容也变得更加灿烂。这种改变真的是太明显了,我感觉自己仿佛脱胎换骨了一样。而且,贴面与我的自然牙齿融合得非常好,几乎看不出是人工修复的。在接下来的几天里,我逐渐适应了新的牙齿状态。无论是在说话还是微笑的时候,都能明显感觉到自信心的提升。我不再像以前那样害怕露出牙齿,而是敢于大胆地展示自己的笑容。朋友们看到我的改变后,也都纷纷称赞,这让我更加开心。

医生在我完成治疗后,给了我特别多关于牙齿贴面美白后护理的建议。首先,在饮食方面,要避免食用实力强、过黏的食物,以免损伤贴面。比如坚果、口香糖等食物,短期内更好不要吃。同时,要尽量减少食用容易染色的食物和饮料,如咖啡、茶、红酒等。如果不小心食用了这些食物,要及时漱口。其次,要保持良好的口腔卫生习惯。每天早晚要认真刷牙,使用软毛牙刷和含氟牙膏,按照正确的刷牙方法进行刷牙。饭后要使用清水或漱口水漱口,及时清除口腔内的食物残渣。另外,还要定期到医院进行复查。医生会检查贴面的使用情况和牙齿的健康状况,及时发现并处理可能出现的问题。我把医生的这些建议都牢记在心,希望能够让牙齿贴面美白的成效保持得更长久。

太原可睦口腔医院给我较大的感受就是专精和贴心。医院的医生团队都具有丰富的临床经验和专精知识,他们在牙齿贴面美白领域有着深入的研究和实践。在整个就诊过程中,医生们始终以患者为中 心,耐心地解答我的每一个疑问,根据我的具体情况制定更适合我的治疗方案。而且,医院的设备非常精良,这为牙齿贴面美白的治疗提供了有力的保护。从口腔检查设备到贴面制作设备,都是行业内领跑的水平。
医院的服务也非常周到。工作人员从接待我开始,就一直关注着我的需求,让我在就诊过程中感受到了家一般的温暖。在治疗后,医院还会进行回访,了解我的修复情况和满意度,及时为我提供帮助和建议。这种全方面的服务让我觉得选择太原可睦口腔医院是一个非常正确的决定。
总的来说,这次在太原可睦口腔医院进行牙齿贴面美白的就诊经历非常愉快和成功。通过牙齿贴面美白,我的牙齿变得洁白美丽,自信心也得到了极大的提升。我深刻地体会到了牙齿美观对一个人的重要性。同时,我也非常感谢太原可睦口腔医院的医生和工作人员,是他们的专精和贴心服务让我拥有了满意的治疗成效。如果你也和我一样对自己的牙齿状况不满意,不妨考虑一下太原可睦口腔医院的牙齿贴面美白技术,相信它会给你带来意想不到的惊喜,让你重新找回自信的笑容。