最近牙齿问题一直困扰着我,尤其是有几颗牙齿缺失,不仅影响美观,连吃东西都变得困难起来。在朋友的推荐下,我决定到宿州康桥口腔医院尝试种植牙。其实一开始我心里挺没底的,毕竟种植牙听起来就特别复杂,而且我也不太了解这项技术。但当我来到宿州康桥口腔医院,看到专精的医生团队和精良的设备,心里的担忧就减少了许多。接下来,我就跟大家详细分享一下我在宿州康桥口腔医院种植牙的就诊过程、诊疗成效以及我的感受,希望能给有同样需求的朋友们一些参考。

在决定来宿州康桥口腔医院之前,我做了不少功课。我在百度上搜索了特别多关于这家医院的评价,发现大家对它的口碑还不错。而且医院的环境非常干净整洁,从大厅到各个诊疗室,都给人一种专精、舒适的感觉。医院的工作人员也特别热情,我一进门就有人引导我挂号、填写资料,还耐心地解答我的各种疑问。这些细节让我觉得这家医院特别靠谱,也让我对接下来的治疗充满了信心。

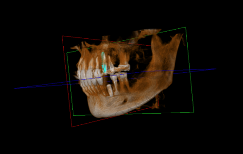
我见到了为我接诊的医生,他非常和蔼可亲,详细询问了我的牙齿情况和病史。然后,医生安排我做了一系列的检查,包括口腔X光片、CT扫描等。这些检查是为了全方面了解我的口腔状况,确定牙槽骨的密度、高度和宽度,以及是否存在其他口腔问题。检查过程中,医生和护士都特别细心,会提前跟我说明每个步骤,让我不会感到紧张。通过这些检查,医生制定了个性化的种植牙方案。

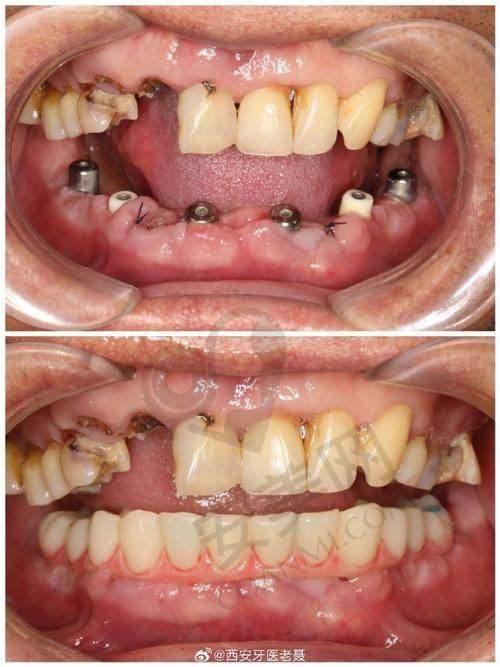
终于到了种植牙手术的那天,我心里还是有点紧张的。医生给我打了局部麻醉,在麻醉生效后才开始手术。整个手术过程中,我并没有感觉到明显的疼痛,只是能感觉到医生在操作。医生的技术非常娴熟,动作特别轻柔,每一个步骤都特别精细。手术持续了大概一个多小时,结束后,医生详细地跟我交代了术后的注意事项,比如要注意口腔卫生、避免吃辛辣刺激的食物等。术后,麻醉药效过了之后,确实有一些轻微的疼痛和肿胀,但都在可以忍受的范围内。医生给我开了一些消炎药和止痛药,按照医嘱服用后,疼痛和肿胀特别快就缓解了。

宿州康桥口腔医院的种植牙技术有特别多特色之处。首先,他们采用的是精良的种植系统,这些种植体的材质非常好,生物相容性高,能够与牙槽骨更好地结合,提高种植牙的成功几率。其次,医院拥有专精的医生团队,他们都有丰富的临床经验,能够根据患者的具体情况制定更适合的种植方案。而且,医院还引进了精良的数字化种植技术,通过计算机模拟种植过程,能够更精细地确定种植体的位置和角度,减少手术创伤,缩短手术时间。另外,医院的服务也非常贴心,从术前的询问、检查,到术中的治疗,再到术后的回访和维护,都有专人跟进,让患者感受到全方面的关怀。

在术后的修复期间,我严格按照医生的嘱咐进行护理。每天早晚认真刷牙,使用漱口水保持口腔清洁。饮食方面,我也特别注意,尽量吃一些软烂、易消化的食物。大概过了几个月,种植体与牙槽骨已经完全结合,医生为我安装了牙冠。戴上牙冠后,我感觉就像自己原来的牙齿一样,非常自然,而且咀嚼功能也修复得良好。现在,我可以像以前一样正常吃东西了,再也不用担心牙齿缺失的问题了。

特别多人都关心种植牙的费用问题,我也不例外。在宿州康桥口腔医院,种植牙的费用是根据种植体的品牌、型号以及患者的具体情况来定的。虽然种植牙的费用相对传统的镶牙方式要高一些,但考虑到它的使用寿命长、功能和美观度都更好,我觉得还是特别值得的。而且,医院有时候会推出一些优惠活动,大家可以关注一下。

种植牙并不是一劳永逸的,后续的维护也非常重要。医生建议我定期到医院进行复查,一般是术后一个月、三个月、六个月等时间节点。复查的目的是检查种植体的情况,确保它的稳定性和健康状况。同时,我自己也要注意口腔卫生,每天正确刷牙、使用牙线,避免吃太硬的食物,这样才能延长种植牙的使用寿命。
总的来说,我在宿州康桥口腔医院种植牙的体验非常好。从医院的环境、医生的技术到服务质量,都让我非常满意。种植牙的诊疗成效也超出了我的预期,现在我的牙齿问题得到了良好的解决,生活质量也提高了特别多。如果你也有牙齿缺失的困扰,不妨考虑一下宿州康桥口腔医院的种植牙技术,相信你也能在这里收获一口健康、美观的牙齿。